Idade certa para colocar aparelho em criança
- Luciana Oliveira
- 21 de ago. de 2018
- 2 min de leitura
A intervenção precoce em uma maloclusão irá depender de cada caso. Alguns tratamentos podem começar até antes dos 7 anos, mas isso depende do diagnóstico e to tipo de tratamento a ser adotado.
Algumas crianças sofrem em sua rotina diária por terem dentes tortos, grandes ou por faltar algum dente. Isso as motiva a pedir ajuda aos pais que automaticamente recorrem ao tratamento ortodôntico.
Existem tipos de maloclusão como mordida aberta, mordida cruzada, agenesias e outras que são provenientes de uso excessivo de chupeta, sucção digital , classe III(ver postagem sobre classe III na infância)ou mesmo fator genético que fazem com a intervenção da ortodontia obtenha mais sucesso e estabilidade pós tratamento se for tratada precocemente.
Como é feito o tratamento preventivo?
Na ortodontia preventiva são feitas pequenas intervenções para garantir a saúde bucal e prevenir problemas de oclusão e falta de espaço para a substituição dos dentes de leite.
Entre as intervenções mais comuns, estão:
supervisão dos espaços para o nascimento e desenvolvimento dos dentes permanentes, em substituição aos dentes de leite;
uso de aparelhos ortodônticos espaçadores para manter o espaço após a queda dos dentes decíduos;
pequenos desgastes dentários que visaram abrir espaço para a correta oclusão;
extração programada de dentes decíduos, para facilitar a descida e o posicionamento do dente permanente substituto;
Uso de grades palatinas, para ajudar na remoção da chupeta e dedo,corrigindo assim a mordida aberta
uso de expansor palatino — um aparelho ortodôntico usado para corrigir a largura do céu da boca e manter o espaçamento para o nascimento dos dentes permanentes, corrigindo, ainda, problemas por hábitos deletérios
......e mais alguma inúmeras opções de intervenções que podem ser adotadas em uma fase da infância ainda precoce ou após os 07 anos de idade.
A melhor opção é marcar uma avaliação com um ortodontista(especialista)e ele ,usando de seu conhecimento e bom senso poderá indicar ou não o uso de algum aparelho ou indicação para outro procedimento.
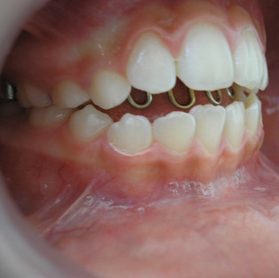
Correção Mordida Aberta por sucção digital com uso de grade palatina. Paciente com 9 anos de idade
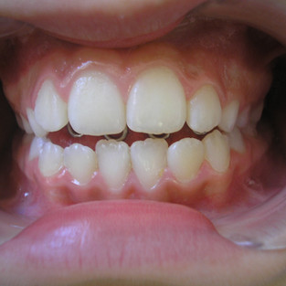
Utilização de mantenedor de espaço para preservar o espaço perdido pela perda precoce de algum dente de leite até que o dente permanente esteja pronto para irromper e assumir sua posição.

















Comentários