Respirador Bucal(Oral) e Ortodontia
- Luciana Oliveira
- 11 de set. de 2018
- 2 min de leitura

O Processo da Respiração se inicia pela passagem do ar pelo nariz, onde é filtrado, aquecido e umidificado, chegando aos pulmões com boa qualidade e protegendo as vias aéreas superiores.
Respiradores bucais são pessoas que têm dificuldade de respirar pelo nariz e por isso respiram pela boca.
Algumas causas fazem com que as pessoas precisem respirar pela boca. As principais causas são: obstrução nasal por rinite alérgica, a sinusite porque provocam inchaço nas paredes internas do nariz, o desvio de septo nasal e a hipertrofia de adenoide.
O respirador na maioria das vezes possui problemas na postura por ficar com a boca aberta grande parte do dia. A pessoa projeta a cabeça para frente, esticando o pescoço, para melhorar a passagem de ar, o que irá alterar a postura da coluna.

Pelos problemas respiratório, é difícil de se ter uma noite bem dormida, o que principalmente na infância compromete o rendimento de aprendizagem.
Para diagnosticar a causa às vezes é necessária uma ação multidisciplinar. Casos de rinites, sinusites, amigdalites, por exemplo, devem ser tratados com um otorrinolaringologista, este provavelmente indicará o paciente para um ortodontista para fazer as correções que o hábito da respiração bucal causou.
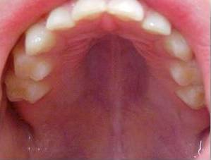
Pela passagem do ar pela boca o palato(céu da boca) sofre uma pressão negativa fazendo com que esse fique fundo e estreito causando uma mordida cruza uni ou bilateral. É comum também encontrar casos de mordida aberta anterior. A colocação de um expansor no céu da boca irá abrir as vias aéreas e passará a respirar normalmente pelo nariz. Constatado o problema de respiração bucal, o tratamento precoce é o mais indicado, especialmente na infância quando os ossos da face e arcada dentária estão em formação e crescimento.
Em 90% dos casos a mãe e paciente relatam a forte melhora nos sintomas da respiração após o uso do expansor palatino.
Palato estreito é uma das características do respirador bucal





Comentários